Auflösung Sonoquiz: Das Mirror-Syndrom

Ja, einige von euch haben es sofort erraten. Darunter Dr. med. Vincent Uerlings, welcher auch von einem Tripel-Ödem spricht. Diese Bezeichnung kenne ich nicht und ich weiss auch nicht, ob das tatsächlich beim Mirror-Syndrom verwendet wird. Aber vielleicht kann uns unser Kollege einen Tipp geben, von wo er das hat.

Der Name Mirror-Syndrom bezieht sich auf die Vergleichbarkeit zwischen den mütterlichen Ödemen und dem fetalen Hydrops. Die Erstbeschreibung erfolgte 1892 durch John William Ballantyne. Das Mirror-Syndrom ist selten mit einer wahrscheinlich erheblichen Dunkelziffer. In der Literatur wird von weniger als 100 Fällen weltweit berichtet [1].

Dieses Syndrom ist mit immunologischen und nicht-immunologischen fetalen Hydrops-Ursachen assoziiert [2, 3].

Die Pathogenese und die Pathophysiologie des Mirror-Syndroms sind derzeit unklar. In einer Review der aktuellen Literatur wurde die Diagnose mehrheitlich zwischen der 23. und 29. SSW gestellt [1]. Die Symptome der Mutter sind Ödeme, arterielle Hypertonie, Proteinurie. Die Ödeme betreffen überwiegend die untere Körperhälfte der Mutter und die Gewichts­zunahme kann beängstigend schnell voranschreiten. Beim Fetus findet man einen massiven Hydrops (Abb. 1, postpartal) und gegebenenfalls ein Poly­hydramnion. Sonographisch zeigt sich häufig eine ­Plazentomegalie.

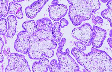
Die Komplikationen können schwerwiegend sein. Ein Lungen- oder Hirnödem können zu einer akuten Atem­insuffizienz führen [1]. Laborchemisch sind Zeichen der Hämodilution mit milder Anämie vorhanden, zudem Hypoalbuminämie, Hyperurikämie und erhöhte Beta-HCG-Werte. Aufgrund des Krankheitsbildes kann das Syndrom mit einer Präeklampsie verwechselt werden, wobei bei Präeklampsie eher eine Hämokonzentration vorhanden ist. Beim Mirror-Syndrom sind zudem Thrombozyten und Transaminasen meistens normal. Weitere Ähnlichkeiten zu dem Bild der Präeklampsie können auch in der Pathogenese vermutet werden, indem das erhöhte Angiogeneseprofil des Mirror-Syndroms dem der Präeklampsie ähnelt und sich ebenfalls nach der Entbindung erholt [4]. Auch in unserem Fall war die sFlt-1/PlGF-Ratio mit 230 pathologisch! Der Fetus könnte ebenso eine wichtige Rolle in der Pathogenese des Syndroms spielen [3, 4]. Durch den fetalen Hydrops, letztendlich eine Manifestation einer fetalen Herzinsuffizienz, kommt es zu einem Ödem der Chorionzotten [6] (Abb. 2).

Die Zunahme des Wassergehaltes der Plazenta verursacht eine Kompression der Plazentargefässe und Abnahme des Sauerstoff-Transportes. Diese throphoblastäre Hypoxämie ist ein Stimulus für die Zunahme der Produktion einiger Faktoren (z. B. sFlt-1), welche die mütterliche Reaktion − über eine generalisierte endotheliale Schädigung – triggert [2, 3, 7, 8].

Apropos, das Kind hatte auch ein CPAM (congenital pulmonary airway malformation), welches in der Bildserie B der FHA 2/2020 gesehen werden kann. Der Tumor nahm beinahe den ganzen rechten Lungen­flügel ein. Wem ist das aufgefallen?

Literatur

1.   Braun T et al., Fetal Diagn Ther 2010; 27:191–203.
2.   Carbillon L et al., Obstet Gynecol Surv 1997; 52: 310–4.
3.   Hirata G et al., J Matern Fetal Neonatal Med 2016; 29: 2630–4.
4.   Llurba E et al., Ultrasound Obstet Gynecol 2012; 40: 367–9.
5.   Kobayashi Y et al., Pathol Int 2015; 65:443–5
6.   Huhta JC., Pediatr Cardiol 2004; 25: 274–86.
7.   Espinoza J et al., J Matern Fetal Neonatal Med 2006; 19: 607–13.
8.   Prefumo F et al., Prenat Diagn 2010; 30: 378–9.

Diese Webseite verwendet Cookies. Durch die Nutzung der Webseite stimmen Sie der Verwendung von Cookies zu. Datenschutzinformationen
loading