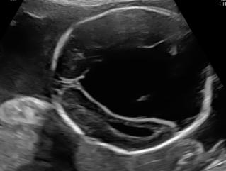
28-jährige Primigravida mit spontan entstandener dichorialer Zwillingsschwangerschaft. Unauffälliger Fetus 1, Fetus 2 zeigt zerebrale Auffälligkeiten (Bild, 26 1/7 Wochen).

Wo sind die Seitenventrikel?
Was könnte die Ursache sein für diese Anomalie?
Antworten an: Severine Kupschke