Forum - Pelvic Congestion Syndrom – chronische Unterbauchschmerzen bei Frauen aufgrund von Krampfadern im Beckenbereich

Das Pelvic Congestion Syndrom (Beckenvenenstauungssyndrom) ist nach der Endometriose die zweithäufigste Ursache für chronische Unterbauchschmerzen bei Frauen. Ausgelöst durch pelvine Krampfadern, wird das bisher noch weitgehend unbekannte Krankheitsbild oft nicht oder sehr spät diagnostiziert. Dabei ist die Behandlung minimal-invasiv im ambulanten Setting durchführbar und weist eine Erfolgsquote bei nachgewiesener Diagnose von über 80 % auf, wonach die meisten Frauen beschwerdefrei werden [1, 2].

Krampfadern im Becken als Differenzialdiagnose zur Endometriose

Rund 15 % der Frauen im Alter zwischen 18 und 50 Jahren klagen über chronische Unterbauchschmerzen [2]. Der Verdacht auf Endometriose liegt nahe, wobei nach Bestätigung der Diagnose und laparo­skopischer Sanierung der Endometrioseherde die Beschwerden persistieren können. Somit bleibt die Ursache der Unterbauchschmerzen weiterhin unerkannt und die Patientinnen weisen gelegentlich einen jahrelangen Leidensweg auf. In diesem Fall rückt die zweithäufigste Ursache für chronische Unterbauchschmerzen nebst Endometriose in den Fokus: das Pelvic Congestion Syndrom (PCS), hervorgerufen durch Krampfadern im Beckenbereich [3].

Die zwei Typen des Pelvic Congestion Syndroms

Das Pelvic Congestion Syndrom entsteht durch einen proximalen Veneninsuffizienzpunkt im Abdomen oder Becken und tritt in zwei unterschiedlichen Typen in Erscheinung:

Typ Ovarialvene: Die Symptome des PCS werden durch insuffiziente Ovarialvenen hervorgerufen (Abb. 1). Dabei können einerseits insuffiziente Klappen der Vena ovarica zu einem Reflux führen und Krampfadern im kleinen Becken verursachen. Andererseits kann auch eine Einklemmung der linken Nierenvene (Nutcracker Anatomie) dazu führen, dass es zu einem Blutrückstau in die Eierstockvene und zu Krampfadern kommt. Nicht selten findet sich eine ­retroaortale Nierenvene oder eine Verengung der Vena cava inferior als Ursache der Ovarialveneninsuffizienz.

Typ Innere Beckenvene: Bei diesem Typ des Beckenvenenstauungssyndroms gründet die Symptomatik auf einer venösen Stauung der inneren Beckenvene. Der Rückstau des Blutes führt zu Krampfadern im kleinen Becken, welche die typischen Beschwerden eines PCS auslösen. Bei Patientinnen mit diesem Typ wird gelegentlich eine linksbetonte Beinvarikose assoziiert, während das rechte Bein keine Krampfadern aufweist. Häufige Ursache für diesen Typ sind Verengungen der Vena iliaca communis einschliesslich des May-Thurner Syndroms (Abb. 2) oder der Vena cava inferior.

Leitsymptome und -befunde

Typisch für das Pelvic Congestion Syndrom sind chronische Unterbauchschmerzen. Diese können sich in folgenden Situationen verstärken:

  • im Stehen oder Sitzen
  • während oder nach Geschlechtsverkehr
  • während der Menstruation
  • während und nach der Schwangerschaft
  • beim Pressen (z. B. Stuhlgang)

Auch eine atypische Varikose der unteren Extremitäten oder die Vulvavarikosis zählen zu den wichtigen Leitsymptomen. Zu den Begleitsymptomen und -befunden zählen:

  • Dyspareunie
  • Miktionsstörungen, Harndrang
  • Obstipation, Meteorismus
  • Hämorrhoidalleiden, Enddarmbeschwerden
  • Rückenschmerzen, Hüftschmerzen, Leistenschmerzen, Flankenschmerzen
  • Depression

Frauen im Alter zwischen 18 und 50 Jahren nach einer oder mehreren Geburten zählen zu der Risikogruppe. Obstruierende vaskuläre Anomalien wie das Nutcracker Syndrom (Kompression der linken Nierenvene durch die obere Darmarterie und Bauchaorta) oder das May-Thurner Syndrom (Kompression der linken Vena iliaca commuis durch die rechte Arteria iliaca communis) können zudem das Beckenvenenstauungssyndrom begünstigen.

PCS Score nach Prof. Nils Kucher

Die Literatur stellt noch kein Scoring-Modell bereit, um die Wahrscheinlichkeit eines vorliegenden Pelvic Congestion Syndroms quantifizieren zu können. Deshalb haben wir einen eigenen Score entwickelt, der sechs wichtige Punkte zur Erhebung in der klinischen Anamnese umfasst (Abb. 3).

Bei einem Score zwischen 3 und 5 scheint die Diagnose PCS möglich, ab einem Score von 5 sogar wahrscheinlich. Der PCS Score nach Prof. Nils Kucher wird aktuell prospektiv im Rahmen einer Dissertation validiert. Bei einem Verdacht auf das Beckenvenenstauungssyndrom (PCS Score >3 Punkte) empfiehlt sich in der gynäkologischen Abklärung die Durchführung eines transvaginalen Ultraschalles mit Valsalva zum Nachweis parauteriner Varizen oder Vulvavarikosis und allenfalls Überweisung zur weiteren gefässmedizinischen Abklärung.

Die Klinik für Angiologie am Universitätsspital Zürich (USZ) ist spezialisiert auf die Diagnostik und minimal-invasive Therapie von Patientinnen mit Beckenvenenstauungssyndrom. Anhand eines aktuellen Fallberichtes werden die Möglichkeiten der Diagnostik und der Therapie des PCS verdeutlicht.

Ein langer Weg bis zur Diagnose

Patientin S. B. (Jahrgang 1986) wurde uns intern von der Klinik für Gynäkologie zur weiteren Abklärung/zum Ausschluss eines Pelvic Congestion Syndrom zugewiesen. Die Patientin berichtete uns über seit 15 Jahren bestehende Unterbauchschmerzen und invalidisierende Dysmenorrhoe sowie intermittierend Dyschezie. S. B. war bereits 2015 in einem anderen Spital vorstellig, wobei der Verdacht auf Endometriose gestellt wurde. Im laparoskopischen Verfahren wurde die Diagnose bestätigt und erfolgreich behandelt. Gemäss Angaben von der Patientin haben sich die Symptome postoperativ jedoch nicht wesentlich verbessert. Auch die Hormontherapie mit Dienogest verbesserte das Beschwerdenbild nicht wesentlich.

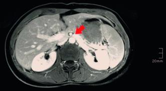
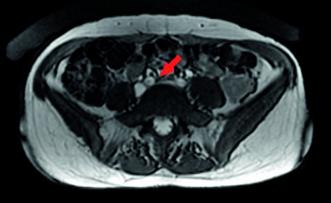
In unserer Anamnese der seit vielen Jahren bestehenden Unterbauchschmerzen zeigten sich lageabhängige Beschwerden, die im Tagesverlauf zunahmen und in die Leistengegend sowie den Oberschenkel ausstrahlten. Ergänzt wurde die Anamnese durch Feststellung einer Pollakisurie und Dyspareunie. In der angiologischen Diagnostik konnte mittels farbkodierter Duplexsonographie eine Nutcracker-Anatomie (Einklemmung der linken Nierenvene zwischen der oberen Darmarterie und der Bauchaorta) und eine May-Thurner-Anatomie (Kompression der linken Vena iliaca commuis durch die rechte Arteria iliaca communis) festgestellt werden (Abb. 4, 5). In der MR-Phlebographie fanden wir ausgeprägte parauterine Varizen und eine stark erweiterte insuffiziente Vena ovarica links (Abb. 6).

Die Diagnostik des Pelvic Congestion Syndroms setzt die interdisziplinäre Zusammenarbeit von Gynäkologie und Angiologie voraus. In der gynäkologischen Abklärung können mittels transvaginaler Sonografie mit Valsalva Krampfadern im Bereich der inneren Geschlechtsorgane erkannt und ein begründeter Verdacht auf PCS ausgesprochen werden. Nach Ausschluss möglicher Differenzialdiagnosen (Endometriose, Uterus myomatosus, Harnwegsinfekt etc.) erfolgt die Überweisung zur weiteren Abklärung an die Gefässmedizin. Die angiologische Diagnostik umfasst primär die farbkodierte Duplexsonographie, um Obstruktionen des tiefen Venensystems auszuschliessen (May-Thurner Anatomie, Nutcracker-Anatomie, Obstruktionen der Vena cava oder Beckenvenen). Weiter werden in der MR-Phlebographie des Abdomens und Beckens die Pathologie der Beckenvenen bestätigt oder Alternativdiagnosen ausgeschlossen.

Minimal-invasive Behandlung mit Schaumsklerosierung und Coil-Implantation

Bei typischen Pelvic Congestion-Symptomen und hohem Leidensdruck von Patientin S. B. entschieden wir uns nach ausführlicher Besprechung für ein minimal-invasives Vorgehen mit Embolisation der Vena ovarica links. Über einen jugulären Zugang wurde ein Katheter in die Ovarialvene eingelegt, worüber ein aufgeschäumtes Sklerosierungsmittel (Aethoxysklerol 3 %, 15 ml) zur Verödung der parauterinen Venen injiziert wurde. Anschliessend wurden der Patientin kleine Drahtspiralen (Coils) implantiert, um die Vena ovarica endgültig zu verschliessen (Abb. 7). S. B. konnte gleichentags im guten Allgemeinzustand nach Hause entlassen werden.

In der klinischen Nachkontrolle drei Wochen später berichtete uns S. B. von einer massiven Besserung der Unterbauchbeschwerden. In der Laufbanduntersuchung liessen sich jedoch noch belastungsabhängige Beschwerden im linken Bein provozieren, wonach auf Wunsch von der Patientin eine ergänzende Sanierung der May-Thurner-Läsion beschlossen wurde. In einer zweiten kathetertechnischen Intervention erfolgte von femoral eine Stent-Implantation in der Vena iliaca communis links (Abb. 8). Wir behielten die Patientin zur Überwachung der Vitalparameter eine Nacht hospitalisiert. Die Patientin ist nach einer jahrelangen Schmerzanamnese vollständig beschwerdefrei geworden.

Die Behandlungsmöglichkeiten des Pelvic Congestion Syndroms sind vielversprechend. Bei gefestigter Diagnose beträgt die Erfolgsquote der kathetertechnischen Therapie über 80 %. Entscheidend für den Therapieerfolg ist die vorgängige Abklärung von obstruierenden venösen Anomalien. Beim Nachweis von Obstruktionen der Beckenvenen oder Vena cava ist die kathetertechnische Embolisation mittels Schaumsklerosierung und Coiling alleine nicht ausreichend, um das Beschwerdebild nachhaltig zu verbessern. Erforderlich ist die Dekompression mittels Stent-Implantation, was bestenfalls im gleichen Eingriff vorgenommen werden kann.

Der geschilderte Fallbericht zeigt eindrücklich die heutigen Möglichkeiten der minimal-invasiven Behandlung des Pelvic Congestion Syndroms. Unverändert bleibt die Problematik, dass das Krankheitsbild häufig unerkannt bleibt und eine Diagnose relativ spät gesichert wird. Aus diesem Grund ist es wichtig, bei chronischen Unterbauchschmerzen nebst der Endometriose auch eine vaskuläre Ursache der Beschwerden zu berücksichtigen.

Literatur

  1. Phillips D, et al., J Vasc Interv Radiol. 2014; 25: 725–33.
  2. Antignani PL, et al., Int Angiol. 2019; 38: 265–83.
  3. Mathias SD, et al., Obstet Gynecol. 1996; 87: 321–7.
  4. Soysal ME, et al., Hum Reprod. 2001; 16: 931–9.
Diese Webseite verwendet Cookies. Durch die Nutzung der Webseite stimmen Sie der Verwendung von Cookies zu. Datenschutzinformationen
loading