Der spezielle Fall - Der etwas andere „unklare Adnexbefund“: Schwannom des Nervus obturatorius

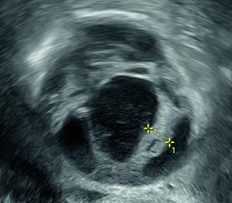
Die 75-jährige Patientin wurde wegen rezidivierenden Harnwegsinfekten zugewiesen. Bei der bi-manuellen Palpation fiel eine indolente, prallelastische Resistenz in der rechten Adnexloge auf. Sonographisch konnte eine polyzystische Raumforderung mit einer Grösse von 56 × 45 × 48 mm mit teils verdickten Septen nachgewiesen werden, weshalb der Entschluss zur laparoskopischen beidseitigen Adnexektomie gefasst wurde. Intraoperativ kam es dann zu einer Überraschung.

Eine 75-jährige Patientin wurde von ihrem Hausarzt bei rezidivierenden Harnwegsinfekten in die urogynäkologische Sprechstunde zugewiesen. Die Patientin berichtete, dass diese Beschwerden seit vielen Jahren bestünden und jeweils antibiotisch gut behandelbar waren. Die weitere Anamnese ergab, dass die Patientin zweimal per Spontangeburt geboren hatte und bei ihr vor gut 25 Jahren eine vaginale totale Hysterektomie bei Uterus myomatosus durchgeführt wurde. Seit einem ungewollten Gewichtsverlust von 4 kg vor ca. zwei Jahren sei ihr Gewicht immer stabil gewesen. Die Patientin bemerkte kein Fieber, keinen Nachtschweiss und auch keine Zunahme ihres Bauchumfangs. Bei der bimanuellen Palpation fiel eine indolente, prallelastische Resistenz in der rechten Adnexloge auf. Sonographisch stellte sich dieser Befund als polyzystische Raumforderung mit einer Grösse von 56 × 45 × 48 mm dar, welche teils verdickte Septen ohne vermehrte Durchblutung aufwies (Abb. 1). Die Tumormarker (CA-125 & HE-4) waren im Normbereich. Aufgrund dieses unklaren Adnex-Befundes wurde eine laparoskopische beidseitige Adnexektomie in die Wege geleitet.

Während der Laparoskopie zeigte sich ein unauffälliger Situs bei Status nach Hysterektomie. Überraschenderweise waren auch die Ovarien makroskopisch unauffällig. In der rechten Fossa obturatoria hingegen fiel eine retroperitoneal gelegene Vorwölbung auf, welche bei Füllung der Harnblase gut von dieser abgrenzbar blieb (Abb. 2). Nach Durchführung einer Spülzytologie sowie der beidseitigen Adnexektomie folgte die Präparation dieser Raumforderung, welche in der Fossa obturatoria gelegen war. Der Tumor war mit dem N. obturatorius verwachsen (Abb. 3). Ein Ursprung aus dem Nerv schien nicht ausgeschlossen. Unter Erhaltung eines möglichst grossen Anteils des N. obturatorius wurde die Raumforderung vorsichtig in toto entfernt.

Postoperativ zeigte sich ein erfreulicher Verlauf, insbesondere waren keine motorischen oder sensorischen Einschränkungen festzustellen. Die Ovarien waren auch bei der histopathologischen Aufarbeitung unauffällig. Bei der Raumforderung handelte es sich um ein Schwannom des N. obturatorius, welches sich zwar mit deutlich regressiv veränderten Anteilen präsentierte, jedoch ebenfalls keine Hinweise auf eine Malignität zeigte.

Schwannome sind Tumore der peripheren Nervenscheide, die aus den myelin-bildenden Schwannzellen hervorgehen und in den meisten Fällen gutartig sind. Sie können als solitäre Masse oder im Rahmen von genetischen Erkrankungen wie beispielsweise der Neurofibromatose Typ 1 auch an multiplen Lokalisationen gleichzeitig auftreten [1]. Typischerweise sind diese Tumore im Kopf- und Halsbereich oder in den Extremitäten anzutreffen. Schwannome des N. obturatorius sind äusserst selten und folglich Gegenstand nur weniger Fallbeschreibungen [2]. Schwannome im Becken präsentieren sich oft als symptomarm oder mit unspezifischen Beschwerden wie beispielsweise Bauchschmerzen, Zunahme des Bauchumfanges oder kompressionsbedingten Beschwerden der Darm- und Harnblasenentleerung [1]. Neurologische Symptome kommen nur selten vor [2].

Makroskopisch präsentieren sich Schwannome als scharf begrenzte und eingekapselte Tumore, welche ein verdrängendes Wachstum aufweisen und sich gut von benachbarten Strukturen ablösen lassen [1]. Gekennzeichnet durch ihr langsames Wachstum und ihre Symptomarmut können sie lange unbemerkt bleiben. In der Literatur werden Schwannome beschrieben, welche eine Dimension von 22 cm × 16 cm erreichten [3].

Histologisch können die meisten benignen Schwannome in zwei unterschiedlich zusammengesetzte Bereiche aufgeteilt werden: die Antoni-A-Region besteht aus dicht angeordneten, spindelförmigen Zellen, während die Antoni-B-Region weniger Zellen und mehr myxoide Matrix aufweist [1]. Bedingt durch das Wachstum und das Altern des Tumors kann es in einigen Bereichen zur vaskulären Unterversorgung kommen, sodass auch degenerative Anteile wie beispielsweise zystische Nekrosen, Fibrosierung und Kalzifizierung zum Bild eines Schwannoms gehören können [1]. In der Bildgebung präsentieren sich diese Tumore mit einem heterogenen Erscheinungsbild, welches durch zentrale zystische Degenerationen und peripherem Enhancement gekennzeichnet ist [1].

Diese unspezifischen Befunde sowie ihre Seltenheit erschweren es, Schwannome des N. obturatorius präoperativ korrekt zu diagnostizieren. Liegt das Schwannom in der Fossa obturatoria und somit in Nähe der Adnexloge, kann es eine ovarielle Raumforderung vortäuschen. Ozat et al. zeigten, dass sich nur 5 % der als Ovarialkarzinom vermuteten Befunde in der histologischen Aufarbeitung als extraovarielle Raumforderungen herausstellen [4]. Die Wahrscheinlichkeit, dass es sich bei einem unklaren Befund in der Adnexloge um einen malignen Prozess des Ovars handelt, ist somit grösser als die Wahrscheinlichkeit eines extraovariellen Prozesses. Deshalb wird, ähnlich wie im vorliegenden Fall, bei Auftreten eines solchen Befundes meist ein operatives Management mittels Laparoskopie gewählt [2, 5].

Bei Vorliegen eines Schwannoms des N. obturatorius wird die korrekte Diagnose meist erst postoperativ in der histopathologischen Aufarbeitung gestellt. Bei kompletter Exzision eines benignen Schwannoms ist das Risiko eines lokalen Rezidivs sehr gering [5]. Dieses operative Vorgehen birgt jedoch nebst der Verletzungsgefahr der iliakalen Gefässe auch das Risiko einer Verletzung des N. obturatorius, welche sich in einer Schwäche der Hüftadduktoren manifestieren kann [5]. In der Literatur wird deshalb für asymptomatische Patientinnen auch ein abwartendes Management in Form von radiologischen Verlaufskontrollen vorgeschlagen [1]. Die Transformation in einen malignen peripheren Nervenscheidentumor ist sehr selten, wird jedoch in der Literatur beschrieben. Maligne Schwan­nome weisen ein aggressives Verhalten auf, welches zu einem hohen Risiko für lokale Rezidive und distale Metastasen führt [3]. Zudem scheinen maligne Schwannome nur schlecht auf Chemotherapie und Bestrahlung anzusprechen [3].

Bei Vorliegen einer unklaren Raumforderung in der Adnexloge ergeben sich mehrere Differenzialdiagnosen. Dabei können diese Raumforderungen sowohl von den Ovarien wie auch von extraovariellen Strukturen ausgehen. Der N. obturatorius stellt aufgrund seines Verlaufes durch die Adnexloge einen Ursprungsort für solche extraovariellen Prozesse dar, sodass Schwannome dieses Nervens trotz ihrer Seltenheit zu den Differenzialdiagnosen eines unklaren Adnexbefundes gehören.

Literatur

  1. Strauss D et al., Am J Surg 2011; 202:194–8
  2. Gleason T et al., Case Reports in Obstet Gynecol 2017; 2017:1–4
  3. Li Q et al., ANZ J Surg 2007; 77:237–40
  4. Ozat M et al., Arch Gynecol Obstet 2010; 284:713–9
  5. Ningshu L et al., Surg Lap Endo & Percutaneous Tech 2012; 22:143–7
Diese Webseite verwendet Cookies. Durch die Nutzung der Webseite stimmen Sie der Verwendung von Cookies zu. Datenschutzinformationen
loading