
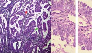
Das Endometriumkarzinom gilt als das "harmloseste" Genitalkarzinom der Frau, das meistens in einem frühen Stadium symptomatisch wird (Blutung) und deshalb eine relativ gute Prognose hat. Unter diesem Begriff verbirgt sich jedoch auch eine kleinere Gruppe von aggressiven Verlaufsformen mit schlechter Prognose, welche nach speziellen therapeutischen Konzepten verlangt.