
Frau L.M., eine 45-jährige Patientin mit unauffälliger gynäkologischer Anamnese stellte sich bei ihrer Gynäkologin wegen seit einiger Zeit bestehendem juckendem Ausschlag im Bereich der Vulva vor. Die Beschwerden datierten bei genauerer Befragung ca. 9-12 Monate zurück, die Patientin hatte diese Beschwerden zunächst auf ihre Radsportaktivitäten zurückgeführt.
In der Familienanamnese erwähnenswert: Vater und Bruder des Vaters an Darmkrebes erkrankt. Bei der Schwester wurde im Alter von 47 Jahren die Diagnose Brustkrebs festgestellt, ebenso wie bei der Grossmutter mütterlicherseits in fortgeschrittenem Alter.
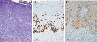
Die fachärztliche Untersuchung ergab eine auf die linke grosse Labie, überwiegend auf den behaarten Hautbereich beschränkte Läsion, welche sich durch multiple, teils konfluierende, zentral erodierte Effloreszenzen...