
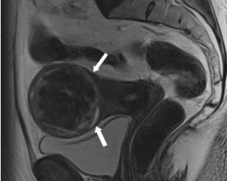
Eine gynäkologische Untersuchung ergänzt durch eine Vaginalsonographie ist in den meisten Fällen ausreichend zur Diagnose beim Uterus myomatosus. Stellt sich aber die Frage einer Abgrenzung zum Leiomyosarkom oder soll im Hinblick auf eine organerhaltende Operation die genaue Anzahl, Lage und Grösse mehrerer Myome bestimmt werden, ist die sonographische Diagnostik meist überfordert. In diesen Fällen, aber auch zur Abgrenzung gegenüber...