
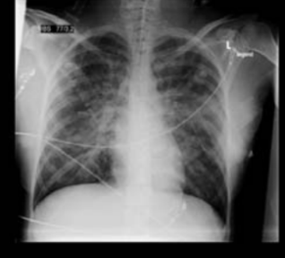
Die Fruchtwasserembolie ist eine seltene, aber akut lebensbedrohliche Komplikation in der Schwangerschaft, unter der Geburt oder postpartal. Fruchtwasser tritt über venöse Gefässe in den mütterlichen Kreislauf ein und löst eine anaphylaktoide Reaktion aus mit Entwicklung einer kardiopulmonalen Dekompensation und disseminierten intravasalen Koagulopathie. Die mütterliche Mortalität ist mit 30–90% relativ hoch. Häufig sind auch hypoxiebedingte irreversible neurologische Defizite. Im Mai dieses Jahres...